Lista completa de Questões de Medicina para resolução totalmente grátis. Selecione os assuntos no filtro de questões e comece a resolver exercícios.
Tendo em vista esse caso clínico e os conhecimentos médicos correlatos, julgue o item a seguir.
O paciente do caso clínico apresenta capacidade funcional < 4 METS (equivalentes metabólicos).
Tendo em vista esse caso clínico e os conhecimentos médicos correlatos, julgue o item a seguir.
Terapia combinada com crizotinib e ceritinib está indicada como tratamento para o paciente nesse momento.
Tendo em vista esse caso clínico e os conhecimentos médicos correlatos, julgue o item a seguir.
Os três sítios mais comuns de metástases a distância da neoplasia que o paciente apresenta são fígado, adrenal e ossos.

Com base nesse caso clínico e nos conhecimentos médicos correlatos, julgue o item a seguir.
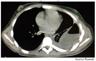
Espera-se, na análise do líquido pleural desse paciente, um exsudato com predomínio linfocítico e ADA elevado.

Com base nesse caso clínico e nos conhecimentos médicos correlatos, julgue o item a seguir.
O paciente tem indicação de pleuroscopia para descorticação pulmonar e biópsia de pleura.
A respeito desse caso clínico e tendo em vista os conhecimentos médicos correlatos, julgue o item a seguir.
Espera-se a presença de fatores de transcrição de células B, como PAX e PAX 5, no painel imuno-histoquímico desse paciente.
A respeito desse caso clínico e tendo em vista os conhecimentos médicos correlatos, julgue o item a seguir.
O paciente tem indicação de ressecção de tumor de mediastino por VATS.
A respeito desse caso clínico e tendo em vista os conhecimentos médicos correlatos, julgue o item a seguir.
Teratoma, timoma e schwannoma são diagnósticos diferenciais dos tumores de mediastino anterior.
Tendo em vista esse caso clínico e os conhecimentos médicos correlatos, julgue o item a seguir.
Lesões pulmonares neoplásicas maiores que 3 cm, mesmo sem a identificação de linfonodos mediastinais aumentados na tomografia de tórax, têm indicação de estadiamento invasivo do mediastino (E-BUS ou mediastinoscopia).
Tendo em vista esse caso clínico e os conhecimentos médicos correlatos, julgue o item a seguir.
O PET-CT utilizado para estadiamento pré-operatório do câncer de pulmão tem maior sensibilidade, quando comparado ao uso da tomografia computadorizada, na identificação de metástases a distância.
{TITLE}
{CONTENT}
{TITLE}
Aguarde, enviando solicitação...